
Una investigació inicial de l’any 2019, liderada per Andrés Ozaita, del Departament de Medicina i Ciències de la Vida de la Universitat Pompeu Fabra (UPF), va descriure que ratolins model de la síndrome de Down presentaven una quantitat elevada del receptor cannabinoide de tipus 1 (CBR1) en algunes zones cerebrals, una anomalia directament vinculada a les alteracions de la memòria d’aquests animals. Sis anys després, ja s’estan duent a terme assajos clínics en fase I-II per provar fàrmacs capaços de corregir aquestes alteracions mnemotècniques en persones que conviuen amb la síndrome.
Ara, un equip d’investigació liderat pel mateix Ozaita, amb la participació de l’Institut de Recerca de l’Hospital del Mar i el Banc de Teixit Neurològic de l’Hospital Clínic/IDIBAPS, ha ampliat el coneixement sobre aquesta diana terapèutica. Els resultats demostren que, en els ratolins model de la síndrome de Down, el tractament farmacològic aplicat a llarg termini millora les alteracions de memòria i redueix la inflamació. Aquesta troballa obre la porta a realitzar nous estudis clínics per explorar un tractament de llarga durada capaç de contrarestar tant les alteracions cognitives derivades de la síndrome com el deteriorament cognitiu que es desenvolupa amb l’edat.
La Trisomia 21 i el sistema endocannabinoide
La síndrome de Down és la principal causa genètica de discapacitat intel·lectual, afectant una de cada mil naixences, el que representa unes 34.000 persones a l’Estat Espanyol i 6 milions a tot el món. La trisomia del cromosoma 21 afecta especialment l’hipocamp, la regió cerebral encarregada de la memòria i l’aprenentatge. Gràcies als avenços mèdics, l’esperança de vida d’aquest col·lectiu ha augmentat significativament, permetent observar que la trisomia 21 també causa la malaltia d’Alzheimer. Aproximadament el 80% de les persones amb la síndrome mostren símptomes prematurs de demència als 65 anys.
”Fa anys que estudiem les alteracions del sistema endocannabinoide en diferents models de discapacitats intel·lectuals, especialment la derivada de la síndrome de Down’’, explica Andrés Ozaita, director del Grup de Recerca en Biologia de la Cognició del Departament de Medicina i Ciències de la Vida (MELIS) de la UPF, que ha liderat l’estudi. ”Ara, hem vist que aquest sistema està alterat en regions cerebrals concretes de les persones amb la síndrome de Down i hem pogut confirmar que, en ratolins model per aquesta síndrome un tractament experimental de llarga durada millora la conducta cognitiva’’.
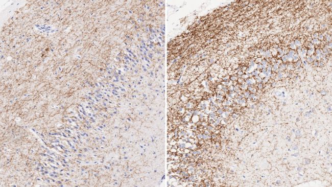
Segons es detalla a l’estudi publicat a la revista Alzheimer’s & Dementia, regions molt concretes de l’hipocamp de persones amb la síndrome de Down presenten nivells elevats del receptor cannabinoide de tipus 1, implicat en el bon funcionament de les connexions neuronals, la neuroinflamació i la memòria. Aquesta alteració, que ja havia estat descrita en ratolins el 2019, millora substancialment amb un tractament farmacològic de llarga durada, des de la infància fins a l’equivalent a la mitjana edat en els rosegadors, la qual cosa redreça les seves capacitats cognitives.
Anna Vázquez-Oliver, primera autora de l’article, ha afirmat: ”Utilitzar aquesta diana terapèutica ha donat resultats positius en ratolins adults joves que reprodueixen algunes de les característiques de la síndrome de Down, i ara veiem que també funciona a la mitjana edat, quan comencen a aparèixer trets associats a la neurodegeneració’’. No obstant això, matisa que ”aquesta intervenció farmacològica experimental ajuda a millorar la memòria dels ratolins trisòmics, però en cap cas reverteix els senyals de neurodegeneració’’.
L’estudi també descriu que el tractament farmacològic reverteix les alteracions morfològiques de la micròglia –cèl·lules cerebrals implicades en la resposta neuroinflamatòria típica de les malalties neurodegeneratives– i redueix la presència de marcadors d’inflamació al plasma dels rosegadors. ”Malgrat que la inflamació baixa, no es reverteix completament’’, explica Ozaita, que afegeix que s’ha de seguir investigant per esclarir si la reducció de la inflamació es produeix només al cervell o també en altres òrgans, ja que hi ha receptors endocannabinoides en molts òrgans del cos.
Desenvolupament i futur del tractament
Tot i que els investigadors tenen clar que tractar aquesta diana no reverteix tots els efectes de la trisomia, esperen que ”aquesta troballa obri noves vies per millorar la qualitat de vida i la independència de les persones amb síndrome de Down, fins i tot d’aquelles que ja presenten alteracions degudes a la degeneració neuronal’’, segons Vázquez-Oliver.
En aquest sentit, l’Hospital del Mar Research Institute, a través del projecte Improving Condition in Down syndrome (ICOD, EU H2020 Research Programme) liderat per Rafael de la Torre –també autor d’aquest estudi–, ja està duent a terme un estudi clínic en fase I-II amb la molècula AEF0217, desenvolupada per la biotecnològica francesa Aelis Farma. Aquesta molècula, que també actua sobre els receptors cannabinoides de tipus 1, ha demostrat en tractaments curts (quatre setmanes) ser segura i millorar habilitats clau com la comunicació i les interaccions socials en persones amb la síndrome de Down.
Ozaita es mostra optimista: ”Basant-nos en el que veiem en el nostre estudi amb ratolins, sembla plausible desenvolupar un tractament de llarga durada que millori de manera sostinguda la qualitat de vida de les persones amb la síndrome de Down’’. Unes millores que, segons afegeix, ”podrien pal·liar, també, les alteracions de memòria i inflamació derivades de l’Alzheimer prematur que desenvolupen aquestes persones amb l’edat’’.
Aquest estudi ha estat finançat per la Fundació Jérôme Lejeune (Delegació França i Delegació Espanya), el Ministerio de Ciencia e Innovación, l’Agencia Estatal de Investigación, la fundació BrightFocus i el Departament d’Economia i Coneixement de la Generalitat de Catalunya.

